大众卫生报 2026-04-29 10:30:38
大众卫生报·新湖南客户端4月29日讯(通讯员 蒋念 谢源阳 唐运姣)近日,来自澳门的患者黎女士,在中南大学湘雅医院神经外科李学军教授团队的精心救治下,成功接受了高难度的颅内多发脑膜瘤全切除手术。手术完整切除了她颅底直径达7.4厘米的巨大肿瘤及左额部另一枚肿瘤,并最大程度保护了神经功能。如今,黎女士恢复良好,已顺利康复出院。

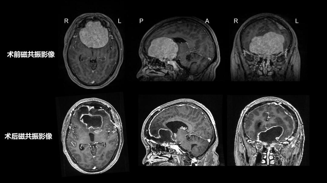
四年前,黎女士出现了记忆力下降、嗅觉减退、头痛头晕等症状,但并未引起足够重视。直到症状不断加重,生活受到严重影响,她才在当地医院接受头部MRI检查,结果令人震惊:颅底有着一枚巨大肿瘤。
怀着对健康的渴望与对高水平医疗的信任,黎女士辗转打听,最终慕名来到湘雅医院,找到神经外科李学军教授团队。经过进一步检查发现,其前颅底肿瘤体积达7.4cm×7.3cm×7cm,额叶、下丘脑、穹隆、三脑室及双侧脑室严重受压,肿瘤甚至向筛窦、鼻腔内生长;左额部还有一枚1.9cm×1.5cm×1.3cm的肿瘤;前颅底骨质已被破坏,双侧大脑前动脉被肿瘤包绕,双侧颈内动脉及大脑中动脉也受压移位。
面对病变巨大、位置深在、紧邻重要神经和血管、术后脑脊液漏风险高等多重挑战,李学军教授团队没有丝毫懈怠。科室组织了术前病例讨论,决定一期手术切除多发脑膜瘤,同时行颅底重建。针对术中可能出现的出血、感染、神经损伤等风险,团队制定了详尽的应急预案,从术前评估到术后监护,每一个环节都做到心中有数、手中有策。
4月2日,由李学军教授主刀,为黎女士成功实施了前颅底及左额部病变切除术。团队巧妙设计一个切口,同时显露两个肿瘤,秉持“毫米级精细操作”原则,逐层分离肿瘤组织,谨慎剥离与神经、血管粘连的部位,精准处理肿瘤基底硬脑膜。
两小时的显微镜下精细操作,不仅彻底清除了病灶,更最大程度减少了对正常脑组织的牵拉与损伤,从根源上降低了复发风险。同时,团队还为她完成了颅底修复重建,为后续康复打下坚实基础。
术后,黎女士未出现任何神经功能缺损症状,术前的头痛、乏力、记忆力差等不适明显好转,各项指标恢复正常,整体康复效果远超预期。
“千里濠江赴湘江,毫厘之处见仁心”,患者及家属对治疗效果和医护服务高度认可,满怀感激地踏上归途。

据介绍,李学军教授团队在复杂颅底肿瘤和中枢神经系统恶性肿瘤的显微手术治疗方面拥有丰富经验,致力于为更多脑肿瘤患者带来生命的希望。他提醒广大患者,出现记忆力下降、嗅觉减退、头痛头晕等症状时,应及时就医。颅内肿瘤遵循“早发现、早诊断、合理处理”原则,绝大多数可以获得良好预后。
责编:严德赢
一审:严德赢
二审:郭芝桃
三审:谢峰
来源:大众卫生报
我要问

下载APP
报料
关于
湘公网安备 43010502000374号