湖南日报·新湖南客户端 2026-04-01 11:17:50
湖南日报·新湖南客户端4月1日讯(通讯员 李翔)近日,湘潭市中医医院骨科团队在中南大学湘雅医院脊柱外科专家指导下,成功为一名71岁高龄胸椎Chance骨折保守治疗不愈合合并胸椎黄韧带骨化患者实施高难度脊柱手术,标志着湘潭市中医医院在高龄复杂脊柱疾病诊疗领域水平得到进一步提升。
该患者此前因外伤导致全身多发骨折,在外院接受胫腓骨骨折手术,胸椎骨折采取保守治疗。然而,其胸椎骨折经保守治疗未愈合,且逐渐出现下肢肌力减退,肌张力增高的现象,极大影响生活质量。
此次正逢中南大学湘雅医院脊柱外科专家邓盎教授来湘潭市中医医院坐诊,患者慕名前来。邓盎通过详细询问病史、体格检查,并结合脊柱CT、MRI等影像学检查结果,明确诊断患者为胸椎Chance骨折保守治疗不愈合、胸椎黄韧带骨化,胸椎椎管狭窄。
医生介绍,胸椎Chance骨折是一种特殊类型的脊柱屈曲-牵张性损伤,常累及脊柱后柱结构,而黄韧带骨化会进一步压迫脊髓,导致神经功能障碍,如不及时干预,可能造成脊髓不可逆损伤,甚至导致下肢瘫痪。加之患者年事已高,身体机能衰退,手术风险高、难度大,对手术操作的精准度和围手术期管理提出了极高要求。
为确保手术安全、有效开展,最大限度降低手术风险,邓盎高度重视,第一时间结合患者病情资料进行全面分析,并与湘潭市中医医院骨科团队共同研讨,制定个性化手术方案,明确手术流程、关键操作要点及围手术期风险防控措施,为手术成功奠定坚实基础。
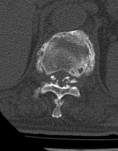
胸椎骨折不愈合
黄韧带骨化
韧带复合体损伤
手术当天,邓盎走进手术室,全程指导手术操作。湘潭市中医医院骨科团队与麻醉科、手术室等相关科室紧密配合,严格按照预设方案,精准实施脊柱骨折固定、植骨融合及黄韧带骨化灶清除等操作。术中,邓盎凭借丰富的临床经验和精湛的手术技巧,精准处理每一个操作细节,有效避开脊髓、神经根等重要组织,最大限度减少手术创伤;湘潭市中医医院团队默契配合,熟练完成各项辅助操作,确保手术有条不紊推进。整个手术过程顺利,历时3个多小时,术中患者出血少、无任何并发症发生。
邓盎指导手术
手术固定情况
“多亏湘潭市中医医院邀请湘雅专家指导,不然我父亲的病真不知道该怎么办,我们心里一块大石头终于落地了!”术后,患者家属握着医护人员的手,激动地表达感激之情。
据悉,2025年,中南大学湘雅医院骨科和湘潭市中医医院骨科签订协作协议,每周五上午为湘雅医院骨科教授坐诊日。湘潭市中医医院相关负责人表示,将继续加强与国内顶尖医院交流合作,积极引进先进诊疗技术和理念,聚焦群众健康需求,不断提升医疗服务质量和水平,为广大患者提供更优质、更高效、更安全的医疗服务,用专业与担当守护百姓健康。
责编:彭婷
一审:彭婷
二审:颜石敦
三审:白培生
来源:湖南日报·新湖南客户端
我要问

下载APP
报料
关于
湘公网安备 43010502000374号