周阳乐 湖南日报 2026-03-10 21:17:46
湖南日报全媒体记者 周阳乐 通讯员 王钰银 刘惠子
“孩子吃完奶就吐,拉肚子一个多月总不好,当地CT一查,胃居然跑到胸腔里了!”3月10日,记者从中南大学湘雅医院获悉,该院小儿外科联合多学科团队成功为一名患有先天性食管裂孔疝的1岁2个月宝宝依依实施微创手术,术后孩子已顺利恢复出院。
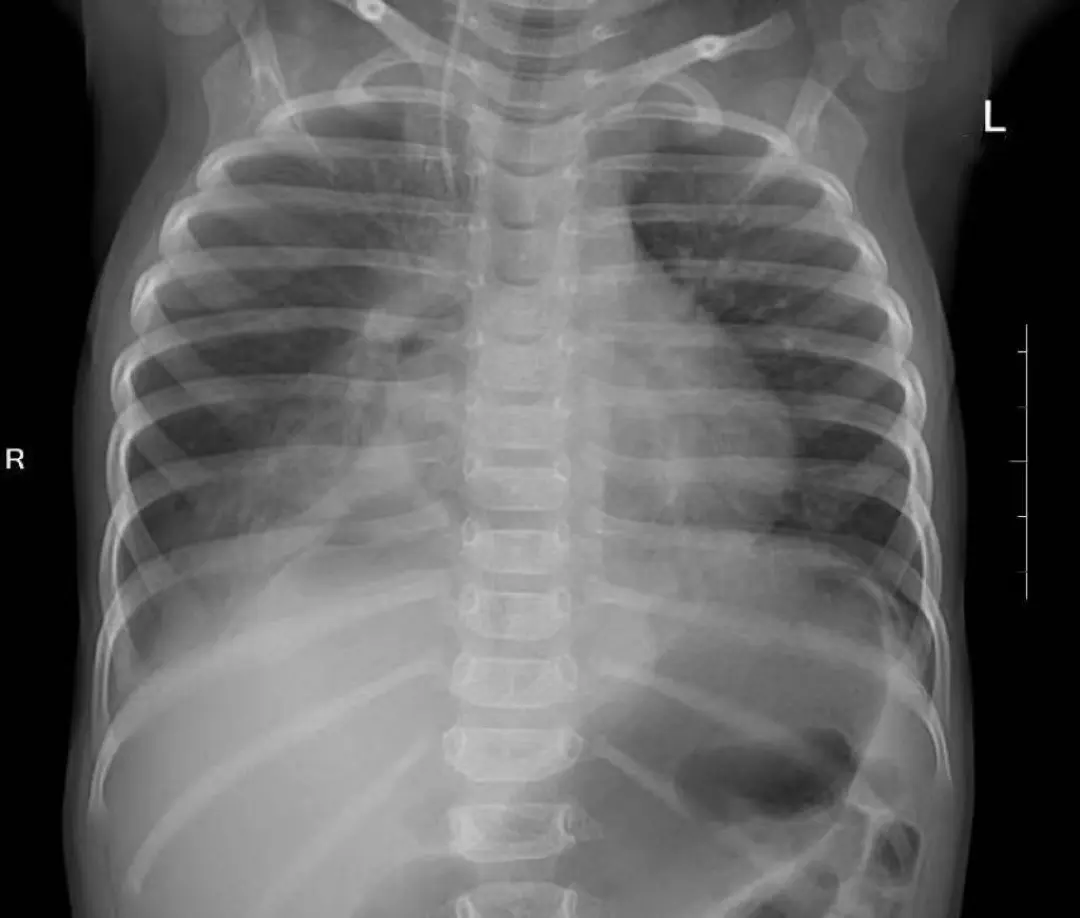
据了解,依依一个多月来反复出现吃奶后呕吐、腹泻,焦急的家人带她到当地医院就诊,为了查清病因,医生为她安排了腹部CT检查。结果却出乎所有人的意料——依依的胃,竟然不在它应该在的腹腔里,而是穿过分隔胸腔和腹腔的肌肉层,“跑”进了右侧胸腔。

这个意外发现让家人意识到问题的严重性。为了明确诊断,他们带着依依来到湘雅医院。进一步的检查确认,依依患的是一种先天性结构畸形,叫做“食管裂孔疝”,同时还伴有胃-食管反流。正常情况下,食管穿过膈肌进入腹腔的那个通道,在依依身上变得异常宽大,以至于胃,甚至部分结肠都从这个缺口挤进了胸腔。这不仅导致她吃进去的食物无法正常消化吸收,引起呕吐和营养不良,更严重的是,移位的内脏还压迫了她的右肺,导致肺叶无法充分张开,甚至引发了肺部感染。
朱勤副教授介绍,我们的胸腔和腹腔之间由一层肌肉(膈肌)隔开,食管穿过膈肌处有一个“裂孔”。如果这个裂孔异常扩大或者周围组织松弛,腹腔里的胃甚至其他器官就可能从这个扩大的裂孔“跑”进胸腔,这就是“先天性食管裂孔疝”。
食管裂孔疝患儿的临床症状通常不典型,通常因频繁呕吐而就诊,或在X线或CT检查时才偶然发现有该病的存在;此外由于部分食管裂孔疝患儿合并有胃食管反流,患儿往往因误吸反流的胃内容物而造成吸入性肺炎,大约有30%的新生儿或小婴儿期食管裂孔疝以呼吸道感染为主要表现。部分患儿因肺受到胃的压迫表现出反复咳嗽、肺炎等呼吸道症状,可能会被作为呼吸道疾病而反复治疗,极个别严重患儿可能会因进入胸腔的胃或肠管发生嵌顿、梗阻而导致坏死、穿孔等。对于确诊的儿童食管裂孔疝,除了一部分轻型病例外,大多数均需手术治疗。目前多采用的手术方法是腹腔镜下食管裂孔疝修补,同时行胃底折叠,具有创伤小、恢复快等优点。

面对这种复杂的先天畸形,湘雅医院小儿外科迅速联合多学科团队进行讨论。专家们一致认为,手术是解决问题的唯一途径。如果不及时干预,随着依依长大,突入胸腔的胃发生嵌顿、扭转甚至穿孔的风险将越来越高;而肺部长期受压,也会严重影响未来的呼吸功能。必须通过手术将胃复位,并修补那个异常扩大的“裂孔”。
经过充分的术前准备,一场微创手术在麻醉科和手术室的默契配合下展开。小儿外科团队联合胸外科,为依依实施了腹腔镜下食管裂孔疝修补术加胃底折叠术。手术仅在依依的腹壁上开了三个3毫米和一个5毫米的微小切口。术中,医生清晰地看到,除了胃,还有一部分结肠也经扩大的裂孔钻进了右侧胸腔。他们精准地将这些脏器一一归位,关闭了那道异常宽大的食管裂孔,并巧妙地用胃底折叠重建了一个抗反流的“阀门”,从根源上解决了依依胃食管反流的问题。
手术效果立竿见影。术后第一天,依依开始进食,困扰她一个多月的呕吐消失了。术后第三天复查,受压的右肺已完全张开。术后一周,依依顺利康复出院。
朱勤副教授呼吁广大家长,当孩子出现反复呕吐、顽固性腹泻、喂养困难、生长发育迟缓,或者反复发生肺炎、喘息时,切勿简单地当成“肠胃不好”或“抵抗力差”,应尽早到医院就诊,通过相关检查以排除食管裂孔疝等先天性结构畸形疾病。
责编:李传新
一审:周阳乐
二审:段涵敏
三审:杨又华
来源:湖南日报
我要问

下载APP
报料
关于
湘公网安备 43010502000374号