大众卫生报 2026-02-26 16:51:28
大众卫生报·新湖南客户端2月26日讯(通讯员 黄美林)春节返程高峰期间,一场惊心动魄的生死救援在湘潭市第一人民医院上演。一名40岁女子因连续24小时长途坐车未下车活动,突发晕厥休克,被确诊为急性肺栓塞,经紧急溶栓治疗后才转危为安。医生提醒:堵车途中务必定期下车活动,警惕经济舱综合征。
2月22日(大年初六)上午9点,患者一家从贵州遵义驾车出发赶往上海。因返程车流量大,高速公路严重拥堵,他们在高速公路上走走停停24小时才到湖南湘潭(正常仅需9小时)。为赶时间,其间患者几乎未下车活动。
抵达湘潭高速服务区时,患者刚下车便突发晕厥,意识丧失。家人紧急将其送往当地医院,检查发现患者已处于休克状态,血压极低,同时确诊下肢深静脉血栓形成。鉴于病情危重,当地医院给予升压药物维持后,迅速转至上级医院——湘潭市第一人民医院进一步救治。
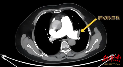
该院急诊医疗团队接诊后,立即为患者行CTA(CT血管造影)检查,最终确诊为急性肺栓塞——下肢深静脉血栓脱落后随血流阻塞肺动脉,导致心肺功能严重受损。情况危急,医疗团队果断采取溶栓治疗。经过数小时紧张救治,患者血栓逐渐溶解,血压回升,生命体征趋于稳定,最终转危为安。

“这是典型的经济舱综合征。”接诊医生刘启俊介绍,“它的医学名称叫旅行相关深静脉血栓形成。之所以有这个俗称,是因为早期发现乘坐飞机经济舱的乘客发病率较高——经济舱空间狭小,双腿无法伸展,长时间保持坐姿,导致下肢静脉血液回流缓慢,容易形成血栓。血栓脱落可能发生在突然发力时(如起身、用力排便),也可能发生在下肢肌肉受到挤压时(如按摩腿部),甚至在静息状态下也可能脱落,随静脉血流经右心进入肺动脉,造成肺动脉堵塞。患者可突发胸痛、呼吸急促、晕厥等症状,严重者甚至刚下飞机便发生休克、猝死。”
刘启俊医师强调,这并非飞机经济舱的“专利”,乘坐火车、长途驾车,甚至打麻将、久坐办公等,只要保持固定姿势时间过长,都可能发生。
医生提醒,长时间坐车,应做到以下四点:
1.定时活动:每1~2小时下车活动5~10分钟,伸展下肢、走动等方式促进血液循环。
2.车内运动:无法下车时,做踝泵运动(脚尖上下勾伸)、屈伸膝关节。
3.补充水分:适量饮水,避免血液黏稠度增高。
4.高危人群格外注意:肥胖、有血栓病史、恶性肿瘤、服用避孕药或激素替代治疗者、近期有手术或骨折外伤史者、孕产妇及高龄人士风险更高。
肺栓塞具有高发病率、高致残率、高死亡率的特点,重在预防。一次简单的下车活动,可能就是阻断血栓形成的生命防线。记住,预防永远胜于治疗。
责编:许建
一审:许建
二审:王璐
三审:谢峰
来源:大众卫生报
我要问

下载APP
报料
关于
湘公网安备 43010502000374号