大众卫生报·客户端 2026-02-05 16:45:56
大众卫生报·新湖南客户端2月5日讯(通讯员 何晓晓 匡登峰)在衡阳市祁东县人民医院耳鼻喉科的日常诊疗中,咽部异物看似常见,但若异物穿透咽壁,“悄悄”潜入颈部深层间隙,尤其与颈动脉“擦肩而过”,便瞬间升级为一场分秒必争、险象环生的生命保卫战。近日,祁东县人民医院耳鼻喉科团队成功救治一例咽内异物穿入颈部间隙、紧邻颈动脉的高危病例,凭借精准判断与娴熟技术,最终在全麻支撑喉镜下,顺利取出异物,守护了患者的生命安全。

这天清晨,家住步云桥镇隘兵村的谭某某大爷,因“进食鱼后感右侧吞咽痛1月”,来到了祁东县人民医院就诊,经完善喉镜检查提示右侧下咽部异物。
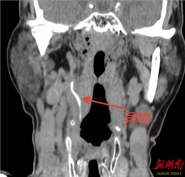
科主任陈志军接诊患者后,结合喉镜情况及详细询问病史,判断该异物可能已深入颈内间隙,经颈部CT三维重建检查,提示咽侧壁异物已穿破黏膜层,深入颈部间隙,且异物尖端距离右侧颈动脉分支仅毫厘之遥。颈动脉是大脑供血的主要通道,一旦被异物刺破或继发感染侵蚀血管,极易引发致命性大出血或脑卒中,手术风险极高。影像警示:异物如同一枚“定时炸弹”,静静地潜伏在颈动脉分支旁,每一次吞咽、颈部活动都可能带来不可预料的危险。面对如此棘手的情况,陈志军科主任迅速启动应急预案,组织血管外科、麻醉科进行多学科会诊。发现风险,经分析,异物位置较深,周围重要血管、神经密布,传统颈外径路手术创伤大、易损伤血管,且可能因术中移位导致二次伤害。

经反复评估,团队最终确定了经口全麻支撑喉镜下异物探查取出术的方案。该微创路径可直达咽部病灶,避免颈部切开,但要求术者具备高超的内镜操作技巧与稳定的心理素质,确保异物取出过程中零移位、零损伤。手术当日,在麻醉团队的保驾护航下,患者进入全身麻醉状态。陈志军科主任借助支撑喉镜充分暴露咽部,于高清内镜视野下,清晰见异物嵌顿处黏膜红肿,周围组织粘连紧密,并小心分离包裹异物的肉芽组织,轻柔松动异物嵌顿方向。

当时,医院利用长柄精细器械,巧妙避开血管搏动区域,以毫米级精度缓缓牵拉,最终将一枚长约4cm的弧形鱼骨完整取出。术中,即刻检查术野无明显活动性出血,颈动脉搏动良好,术后复查CT确认异物无残留,邻近血管毫发无伤。出院当天,受到来自患者及家属的点赞。
医院认为,这是技术、协同与担当的结果,成为了此次高难度异物取出的重要因素。一是精准的术前评估:CT三维重建技术、增强CT清晰呈现异物与血管的立体关系。二是最优的路径选择,微创经口入路最大限度降低手术创伤。三是娴熟的内镜技术,团队长期积累的咽喉精细手术经验。四是多学科的紧密配合,从影像诊断到麻醉管理,再到应急预案,环环相扣。五是多位专家齐发力。麻醉科钱静、肖凤娇副主任医师全程保驾护航,为手术提供精准麻醉支持;神经内科雷君平副主任医师同步做好介入保障,为手术安全筑牢多重防线。
责编:洪学智
一审:洪学智
二审:王璐
三审:田雄狮
来源:大众卫生报·客户端
我要问

下载APP
报料
关于
湘公网安备 43010502000374号