大众卫生报 2026-01-29 09:16:43
大众卫生报·新湖南客户端1月29日讯(通讯员 吕星 小姿)近日,长沙泰和医院神经外科再次凭借快速的反应能力和精湛的专业技术,成功救治一名重症脑出血患者,充分展现了科室在脑血管危急重症救治领域的专业实力。
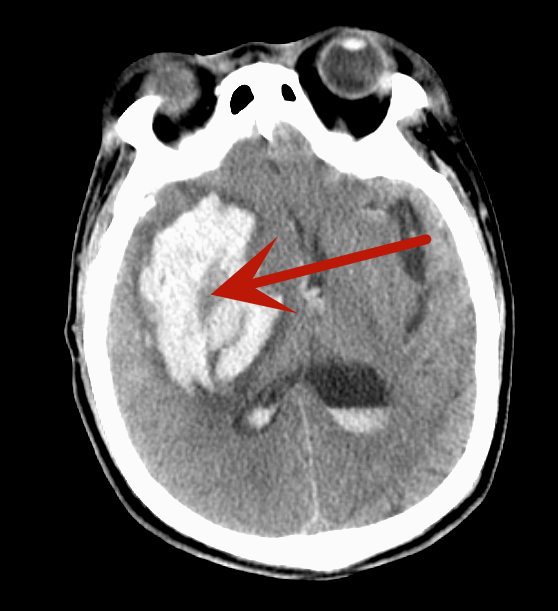
据悉,55岁的赵先生突发脑出血倒在路边,被路人发现时,已经不省人事,呼之不应,伴有呕吐、大小便失禁,被120紧急送至我院。急诊检查CT结果令人揪心:右侧基底节脑出血,右侧脑室受压,中线结构左偏,颅内情况异常凶险,被紧急收至神经外科。
(红色箭头为颅内出血灶)
救治刻不容缓,向患者家属详细讲解手术方案,并征得同意后,手术团队立即为患者实施颅内血肿清除手术。由李自强主任主刀,手术团队凭借丰富的临床经验和精湛的医疗技术,密切配合,精细操作,手术顺利完成。

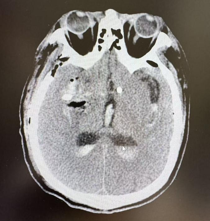
术后,复查CT显示颅内出血基本清除,脑组织受压情况明显改善。在神经外科医护人员的精心治疗和护理下,以及赵先生自身与家属的积极配合与努力,病情显著好转。患者和家属非常满意,向医护团队表达了深深的感激。
复查CT显示颅内出血基本清除
为何冬季脑出血更“猖獗”?
脑出血,指非外伤性脑实质内血管破裂引起的出血,起病急、进展快,致死致残率高。
冬季是脑出血的高发季节,主要与以下因素有关:
寒冷刺激,血压波动大:低温使人体血管收缩,血压容易骤然升高,增加血管破裂风险。
活动减少,血液流速缓:冬季户外活动减少,血液循环相对减缓,黏稠度增加,易形成血栓或加重血管负担。
进补不当,饮食偏重口:冬季人们倾向于高脂、高盐饮食,可能加重动脉硬化,升高血压。
呼吸道感染高发:咳嗽、用力排便等行为会瞬间增加颅内压,可能成为诱因。

识别这些突发信号,关键时刻能救命
脑出血多在活动中突然发生,常存在情绪激动、排便费力、饮酒等血压波动诱因,记住以下典型症状,立即拨打120!
剧烈头痛:头痛、恶心、呕吐,部分人会感觉“头要炸开”;
意识障碍:出现嗜睡、叫不醒甚至昏迷;
肢体瘫痪:一侧身体突然无力、麻木;
其他警示:若出现快速进展的神经功能症状(如肢体无力突然加重)、癫痫、意识水平下降(与神经缺损程度不匹配),可能提示血肿占位效应;若颈部僵硬,可能是脑室出血延伸到蛛网膜下腔,引发脑膜刺激征。
脑出血与脑梗症状相似,切勿自行判断或等待观望,正确的做法是第一时间送医,进行脑CT检查以明确诊断。李自强主任在此提醒大家:冬季天气寒冷,是脑血管疾病的高发季节。高血压、高血脂等人群,应严格控制血压、血脂,保持情绪稳定,预防脑出血、脑梗塞的发生。
责编:袁小玉
一审:袁小玉
二审:梁湘茂
三审:谢峰
来源:大众卫生报
我要问

下载APP
报料
关于
湘公网安备 43010502000374号