大众卫生报 2026-01-12 10:27:52
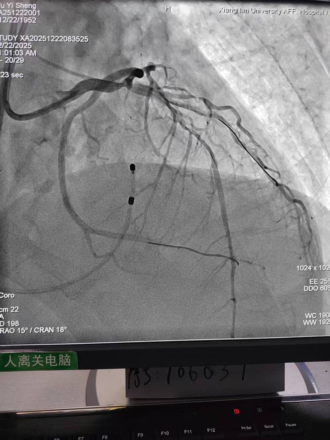
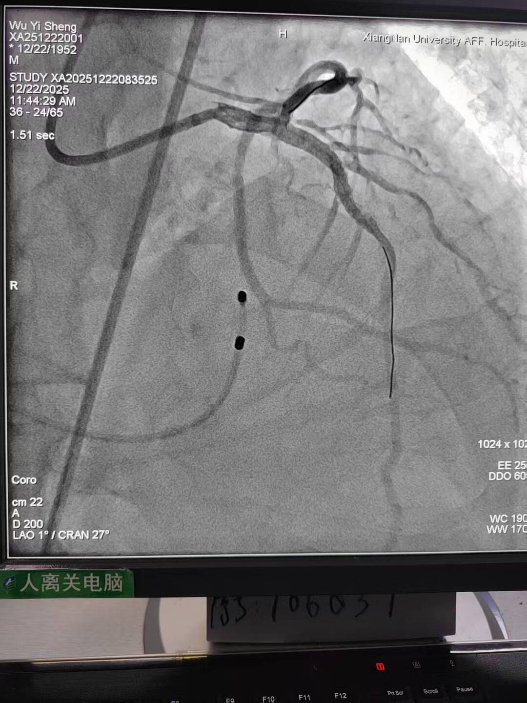
大众卫生报·新湖南客户端1月12日讯(通讯员 曾能娟)近日,湘南学院附属医院心血管内二科主任李维军带领心脏瓣膜介入团队,凭借精湛医术与多学科协作优势,成功为合并三重致命心血管病变的高危患者实施“冠脉支架植入+经导管主动脉瓣置换术(TAVR)”一站式微创手术。该手术一次性攻克了患者冠状动脉严重狭窄、主动脉瓣重度钙化狭窄及外周血管病变三大难题,标志着该院在复杂心脑血管疾病复杂危重症的综合介入治疗领域迈上新台阶。
73岁的李先生因反复胸痛、气促入院,活动能力明显受限。经全面检查发现,其冠状动脉主干及多支血管存在多处严重狭窄,心肌供血严重不足;被称为“心脏大门”的主动脉瓣重度钙化、狭窄,已引发心功能衰竭;而外周血管同样存在严重钙化、溃疡与狭窄。这三种病变单独存在均足以危及生命,叠加后使传统外科开胸手术风险陡增,患者一度面临治疗困境。


面对这一棘手病例,李维军主任迅速组织MDT团队开展术前多学科讨论深度研讨。团队一致认为,传统分期手术或外科开胸手术创伤大、并发症风险高、术后恢复慢,难以适配患者的高危病情。而国际前沿的“一站式”介入手术,可通过单一微创入路、一次手术操作同步解决多重核心病变,既能最大程度降低总体手术风险,又能加速患者康复进程,是契合“以患者为中心”理念的最优治疗方案。
手术过程犹如在心脏内进行的“微雕”和“换门”工程,步骤环环相扣,每一步都考验着术者的技术功底与团队协作默契。术中,团队首先利用先进的可扩张血管鞘,在严重钙化狭窄的右侧股动脉腔内成功建立安全的手术通路;随后经该微创入路,先通过球囊扩张术为冠状动脉植入支架,快速恢复心肌血供;紧接着,在同一手术台、同一入路下,精准将人工主动脉瓣输送至病变位置并成功释放,顺利替换失灵的原生瓣膜。整个过程中,团队成功克服了外周血管入路困难的核心挑战,确保手术各环节无缝衔接、精准落地。




术后,患者主动脉瓣功能即刻恢复正常,冠状动脉血流重回通畅,胸闷、气促等不适症状显著缓解。经过后续康复护理,患者已顺利出院,重获正常生活能力。
此次高难度“一站式”手术的成功,是该院多学科团队紧密协作、攻坚克难的成果,充分彰显了该院心血管内科在复杂介入治疗领域的技术实力与临床经验,不仅为罹患多重复杂心血管疾病的高危患者提供了新的治疗选择与生命希望,也为区域内心血管疾病诊疗技术的创新发展提供了宝贵实践经验。
责编:许建
一审:许建
二审:陈艳阳
三审:田雄狮
来源:大众卫生报
我要问

下载APP
报料
关于
湘公网安备 43010502000374号