高煜棋 三湘都市报·网站 2025-12-25 15:41:57
三湘都市报·新湖南客户端12月25日讯(全媒体记者 高煜棋 通讯员 莫莎莎 易银芝 朱光辉)生下来便患上罕见病先天性胫骨假关节,来自四川的小小(化名)7岁了,一直都无正常行走,更不要说像其他小朋友一样奔跑。记者今日从湖南省儿童医院了解到,经过该院骨科手显微外科团队为他成功实施“带血管蒂的腓骨移植”手术后,小小终于恢复,可以享受奔跑跳跃的童年乐趣了。
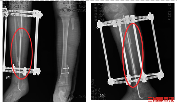
据介绍,先天性胫骨假关节是一种罕见且非常难治的骨科疾病,该病是发育异常导致的胫骨畸形,表现为胫骨成角畸形、髓腔狭窄或囊肿等,最终形成不愈合的假关节。即使手术,骨愈合困难、治疗周期长、肢体功能严重受损,严重时有截肢的风险。
小小出生3个月时,家人发现他右小腿下段弯曲,2岁时因胫骨骨折辗转于数家医院,经多次手术失败后来到湖南省儿童医院治疗。医生表示,先天性胫骨假关节导致小小右侧胫骨出现大段骨缺损,传统治疗方法效果有限,且存在肢体短缩、畸形甚至截肢的风险。
面对这一难题,医院骨科团队决定实施一项新的手术方案:从小小健康的左侧小腿取一段带血管蒂的腓骨,移植到右侧胫骨缺损处,通过吻合血管重建移植后的腓骨血运,重建胫骨的完整性与支撑功能。
小小主治医师王军介绍:“这相当于在体内建造一座‘骨骼桥梁’。手术难点不仅在于骨骼的切取与精准拼接,更在于要在显微镜下将细小的血管(腓动静脉)与受区血管成功吻合,确保移植骨后有持续血液供应而‘存活’。儿童动静脉直径细小,可能仅0.5至1毫米,血管壁薄,弹性组织发育不完全,这使得血管分离、吻合的操作极为困难,对显微外科技术是极大考验。”
在麻醉手术科的密切配合下,骨科核心手术团队历时多个小时,顺利完成供区腓骨切取、受区准备、骨骼固定及血管吻合等一系列高难度步骤。术后,小小在骨科团队的精心护理和指导下,顺利出院。
经过两年定期复查,小小移植的腓骨已在新的位置“安家落户”,与胫骨牢固愈合,直径明显增粗,具备了良好的承重能力。他的右下肢长度得到维持,功能恢复良好,生活质量得到了显著改善。
“看到孩子能重新站起来,正常行走、跑跳,这是我们作为儿童骨科医生最大的欣慰。”骨科副主任谭谦表示。此次手术的成功,标志着湖南省儿童医院在儿童肢体与复杂骨缺损重建领域取得了重要技术突破,为因创伤、肿瘤、感染等原因导致长段骨缺损的患儿提供了一种有效的保肢治疗方案,避免了截肢带来的终身残疾和心理创伤。
责编:李琪
一审:高煜棋
二审:黄娟
三审:张军
来源:三湘都市报·网站

版权作品,未经授权严禁转载。湖湘情怀,党媒立场,登录华声在线官网www.voc.com.cn或“新湖南”客户端,领先一步获取权威资讯。转载须注明来源、原标题、著作者名,不得变更核心内容。
我要问

下载APP
报料
关于
湘公网安备 43010502000374号