湖南日报·新湖南客户端 2025-12-24 09:38:46
“人老腿先老”,膝关节作为人体主要承重关节,随着年龄增长易出现磨损疼痛。据统计,我国膝骨关节炎患者已超1亿人,不少患者在疼痛难忍时都会纠结:“是不是只能换关节了?” 近日,郴州市中医医院正式跻身华南保膝联盟单位,而62岁彭阿姨的康复经历,正印证了“保膝”为患者带来的新希望。
辗转求医无果,微创保膝解烦恼
一年前,彭阿姨无明显诱因出现右膝关节疼痛,不仅活动受限,还时常有 “绞锁感”(关节突然卡住无法活动),严重影响日常起居。为了缓解不适,她尝试过口服药物、物理治疗、针灸、玻璃酸钠关节腔灌注等多种方式,但症状始终没有改善,这让她十分苦恼。




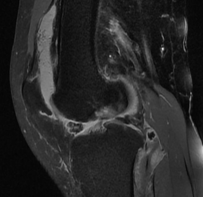
术前影像
就在彭阿姨一筹莫展之际,她来到了郴州市中医医院骨伤科求医。经完善右膝关节CT、MRI检查后,彭阿姨确诊为膝关节骨性关节炎中期,关节内已形成游离体,伴随关节软骨损伤,属于 “保膝” 治疗的适宜指征。

骨伤科副主任李华兵正在为患者查看膝关节情况
在充分沟通并完善术前准备后,郴州市中医医院骨伤科团队为彭阿姨实施了右膝关节镜下游离体取出术+关节清理术——这是一种仅需在皮肤上做几个8毫米小孔的微创手术,通过微型摄像头精准探查关节内部,清理炎性物质与游离体,修整受损组织。

令人惊喜的是,术后第二天彭阿姨就能下地正常行走,膝关节疼痛感明显减轻,困扰已久的绞锁感也彻底消失。“现在走路腿脚利索多了,终于能好好出门散步了,很感谢骨伤科的医生护士们!”康复后的彭阿姨满心欢喜地说。



保膝不是 “一刀切”,而是 “量体裁衣” 的守护
很多像彭阿姨一样的膝关节炎患者,都会误以为“膝盖坏了就只能换”。其实,保膝治疗的核心理念是 “保护自然膝关节、精准修复损伤”,避免或推迟人工关节置换,让患者留住 “原装” 关节的运动功能和本体感觉。
作为一套完整的治疗体系,保膝治疗遵循 “阶梯化、个体化”原则:
👉早期:通过健康宣教、科学运动指导、物理治疗、规范药物干预及 PRP 技术等保守方式,延缓关节炎进展;
👉中晚期:采用关节镜清理术、膝关节周围截骨术、单髁置换术、外固定架技术等微创或精准修复手术,只针对病变部位干预,保留健康的韧带、软骨和骨骼。
郴州市中医医院在保膝治疗中更融入了中医智慧——通过辨证施治开展中药内服外用、针灸推拿、中医外治等特色项目,实现疼痛缓解与功能恢复的双重目标,形成独具特色的中医整体调护模式。


跻身华南保膝联盟,保膝能力再升级
近日,在国家骨科医学中心主办的“保膝中国行”专家巡讲(广州站)暨第五届岭南关节微创大会上,郴州市中医医院骨科团队受邀参会,骨伤科副主任李华兵教授代表医院接过了“华南保膝联盟单位”牌匾。这一荣誉标志着郴州市中医医院在保膝诊疗领域的学科建设与技术水平迈入区域先进行列,更是对郴州市中医医院长期守护群众骨关节健康工作的权威认可。

华南保膝联盟汇聚了国内外骨科顶尖资源,以推广膝骨关节炎规范化保膝治疗为核心使命,搭建起医疗、教学、科研、预防于一体的协作平台。加入联盟后,郴州市中医医院将依托优质专家资源与先进技术平台,进一步完善膝关节疾病规范化诊疗体系,深化中西医结合保膝技术的研究与临床应用,持续优化从早期干预、精准治疗到术后康复的全流程服务。
责编:梁可庭
一审:梁可庭
二审:罗徽
三审:陈淦璋
来源:湖南日报·新湖南客户端
我要问

下载APP
报料
关于
湘公网安备 43010502000374号