2025-12-17 11:07:15
大众卫生报·新湖南客户端12月17日讯(通讯员 李思璇)近日,常年伏案工作的欧某(化名)感到颈部隐隐作痛,然而身体的异常并未引起她的重视,直到一次寻常的伸懒腰动作,随着颈部一声轻响,四肢麻木与无力感如潮水般迅速蔓延,她几乎无法自主活动,右侧肢体尤甚。家人发现后,将其送至郴州市第四人民医院救治。她自诉呼吸减弱,人虽然是清醒的,但头颈以下没有力气,查体可见颈椎活动受限伴压痛,四肢肌张力普遍降低,皮肤感觉减退。神经系统检查提示肌力严重下降:右侧肢体2级,左侧3级,四肢腱反射消失,上述体征指向急性脊髓损伤。
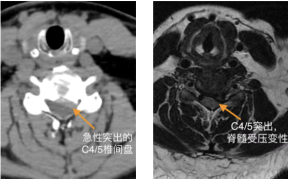
随后,患者相继出现头晕、头痛、呕吐及会阴区麻木。医疗团队紧急启动预案,查CT与MRI结果排除脑出血与急性脑梗死,最终确诊为颈3/4、颈4/5椎间盘突出压迫脊髓,伴脊髓部分变性,解除脊髓压迫为治疗关键。
面对紧急的病情,副院长、脊柱外科主任李世芳带领团队迅速评估,决定采用目前脊柱内镜微创技术——Endo-ACDF(内镜下前路颈椎间盘切除融合术),实施了C3/4、C4/5节段的内镜下减压融合手术。该技术通过天然颈前间隙建立微小通道,在水介质下通过内镜放大视野,能够精准地切除压迫脊髓的突出椎间盘,并植入椎间融合器稳定颈椎。其优势在于创伤极小,出血极少,能最大程度保护周围正常组织结构。
术后患者恢复迅速。术后第三日,在医护人员指导下已可实现生活自理,肢体肌力与感觉功能显著改善。此次从完全受限到重获活动能力的成功救治,这场与时间赛跑的急救,体现了团队对脊柱急危重症的快速诊断能力、应急决策水平与现代微创技术的有效应用,为保障区域民众脊柱健康提供了可靠技术支持。
医生提醒,长期伏案工作者的“不良姿势”和“持续静态负荷”是两大核心高危因素,会系统性地破坏颈椎健康结构,进而引发颈椎病。预防的关键在于采取主动干预,通过优化工作环境、定时起身活动和进行科学锻炼,主动打破静态工作的负面循环,从而将“被动损伤”转化为“主动防护”。
责编:王璐
一审:王璐
二审:梁湘茂
三审:谢峰
我要问

下载APP
报料
关于
湘公网安备 43010502000374号