大众卫生报·公众号 2025-12-14 14:00:45
寒冬时节,泡一场热气氤氲的温泉、在汗蒸房里驱散寒意、或是窝在暖气充足的房间里放松,成了很多人缓解寒冷的选择。但这些看似惬意的场景,却可能暗藏致命风险——你或许想不到,夏季高发的热射病,在冬季也会“找上门”,甚至有人因此昏迷、双肺出现大面积异常影像。
泡温泉时突然昏迷?
热射病并非“夏季专属”
近日,福建中医药大学附属第三人民医院急诊科副主任吴文思就接诊过这样一位患者:在温泉池中长时间浸泡后,先是感到头晕、浑身乏力,随后直接失去意识,送医后确诊为热射病。
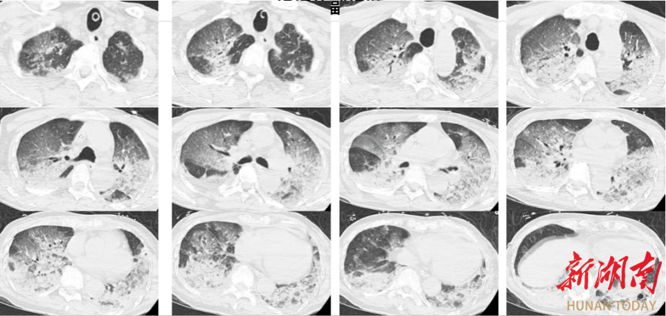
2024年12月,浙江杭州,酷爱蒸桑拿的韩爷爷(化名)于午饭后前往洗浴中心。不料刚进去没多久,整个人就昏了过去并口吐白沫,周围人帮忙拨打了120,将他送入医院。
入院时,韩爷爷意识不清,血压、心率下降,医生随即为他安排头颅、胸部CT和肺血管CTA检查,结果显示,老人的双肺出现大面积白色影像。经会诊,韩爷爷被确诊为热射病诱发的肺水肿。
图源:潮新闻
这两个案例并非个例,它们提醒我们:冬季的“暖”若失去控制,可能比夏季的“热”更易让人放松警惕。今天,我们就从科学角度拆解冬季热射病的来龙去脉,帮你避开隐藏在温暖里的健康陷阱。
冬季为何也会得热射病?
很多人对热射病的认知停留在“夏季户外暴晒、体力劳动才会得”,但事实并非如此。从医学定义来看,热射病是人体在高温、高湿环境下,因体温调节功能失衡,产热大于散热,导致核心温度迅速升高(通常超过40℃),并伴有谵妄、抽搐、昏迷等意识障碍及多器官功能损伤的致命性疾病。
它的核心问题是“热量蓄积”,而非“季节”——夏季户外高温是“外部热源强”,冬季则是“散热途径被阻断”。比如暖气房、温泉池等环境,看似温度舒适,却因密闭、通风差,让人体产生的热量无法通过出汗、空气对流等方式散发;再加上冬季人们往往穿得厚,进一步阻碍了散热,久而久之,体内热量就会像“堵在房间里的热气”一样越积越多,最终诱发热射病。
更危险的是,冬季热射病初期症状(如轻微头晕、乏力)容易被误认为是“暖气太足闷的”“泡温泉太舒服有点乏”,等到出现昏迷、抽搐时,往往已发展到严重阶段,可能伴随多器官损伤,救治难度更大。
冬季热射病容易盯上谁?
那么,冬季在什么情况下易诱发热射病?哪些人群又需格外警惕?
两大风险场景
●密闭的暖气房、温泉池或汗蒸室:冬季室内供暖后,尤其是北方地区,室温常维持在25℃以上。若长时间处于这种温暖、干燥且不通风的环境中,体温调节能力较弱、对温度不敏感人群可能在无意识状态下脱水,进而引发隐性体温升高。
●穿着过于紧身的衣服高强度运动:冬季进行剧烈运动(如马拉松、高强度健身房训练)时,人体产生的热量会剧增。若穿着过于厚重、透气性差的衣物,汗水无法蒸发,在体表形成“保温层”,会严重阻碍散热。运动结束后,若未能及时擦干汗水、更换干爽衣物,且继续停留在温度较高的室内,患病风险同样会显著上升。
三类高危人群
●部分老年人因身体机能衰退,对高温及口渴的感知能力显著下降;
●部分神经系统疾病患者(如帕金森病、脑卒中后遗症等),其体温调节中枢受损;
●长期服用特定药物(如抗胆碱能药物、利尿剂、精神类药物等)人群,排汗和体温调节功能会受到影响。
即便在看似舒适的室温下久坐、睡眠,上述人群也可能不知不觉中出现体内热量蓄积的情况。
遇到疑似热射病
记住“三步法”
若身边有人在冬季出现以下症状,此时别慌,立即按以下三步处理:
1.脱离环境
第一时间把患者转移到通风阴凉处,比如打开窗户的房间、楼道,或户外树荫下(注意冬季户外别让患者受凉,可裹薄外套);如果是在温泉池、汗蒸房,要立即扶出并擦干身体,避免继续接触高温。
2.持续降温
用常温冷水(别用冰水,避免刺激血管收缩)擦拭患者的额头、颈部、腋窝、腹股沟(大腿根部)等大血管密集部位,每10分钟擦一次,帮助热量快速散发;也可以用冰袋裹上毛巾,敷在这些部位(冰袋别直接贴皮肤,防止冻伤)。注意:不要用酒精擦浴,冬季皮肤干燥,酒精可能导致皮肤脱水,还可能通过皮肤被吸收,增加身体负担。
3.防止误吸
若患者已经失去意识,要立即将其头偏向一侧(比如左侧),抬起下颌,让口腔分泌物或呕吐物能自然流出,同时用手指或棉签轻轻清除口腔内的异物(如痰液、食物残渣),避免堵塞气道导致窒息。此时不要喂水、喂药,以免发生误吸,应立即拨打120,等待医护人员到场。
热射病是体内热量“暴动”
冬季的“暖”也可能悄然致病
防范热射病
应打破季节思维定式
若冬季出现不明原因发热、昏迷等
应警惕热射病风险
来源:央视新闻、潮新闻、国家应急广播等
责编:王思贤
一审:王思贤
二审:梁湘茂
三审:田雄狮
来源:大众卫生报·公众号
我要问

下载APP
报料
关于
湘公网安备 43010502000374号