大众卫生报 2025-11-10 09:24:53
大众卫生报·新湖南客户端11月10日讯(通讯员 小姿)11月2日,长沙泰和医院心内科江斌主任团队在宁波大学附属第一医院储慧民教授和中南大学湘雅医院谢启应教授的共同指导下,运用T-LOVE术式成功为一位88岁高龄、高卒中风险的房颤患者实施了左心耳血栓封堵术,术后各项评估指标数据理想。同时,这也是长沙市首例T-LOVE手术。

该手术的成功开展,不仅标志着该院在心血管介入治疗领域实现重要突破,也为区域房颤高血栓风险患者提供了更安全、有效的治疗选择。
患者是一位88岁高龄的女性,既往有房颤5余年,长期口服抗凝药物,仍偶有胸闷不适,并存在左心耳血栓、脑梗史、心脏扩大等多种高危因素。入院诊断为持续性心房颤动,CHA2DS2-VASc-60评分5分(正常评分为0分);HAS-BLED:2分(正常评分为0分),提示患者卒中风险极高,而传统抗凝治疗又面临出血风险,且患者和家属为保障生活质量不愿长期抗凝,治疗一度陷入两难境地。

▲超声提示患者左心耳内血栓形成
面对这一挑战,江斌主任团队联合多学科进行深入评估,并与家属充分沟通后,决定为该患者实行心腔内超声(ICE)指导下的左心耳带栓封堵术(T-LOVE),通过ICE帮助术者全程实时监测手术过程,以获得封堵器在最佳理想位置释放,将血栓完整封堵在心耳内部,从根本上解除血栓脱落导致脑卒中的风险。
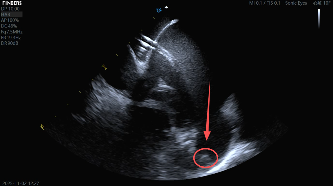
手术在局部麻醉下进行,团队在DSA及心腔内超声(ICE)引导下精准穿刺房间隔,清晰探查到左心耳内10mm×6mm的团状血栓。

▲左心耳血栓
术中,手术团队评估左心耳形态和大小,选择合适大小的封堵器,凭借精确的操作和默契的配合,高效、安全、精准地完成了左心耳封堵。展开后观察位置形态良好,多角度评估显示符合PASS原则,遂释放封堵器。
左心耳封堵器完全释放后,经2次牵拉试验及三轴多普勒扫描确认,封堵器位置稳定,封堵完全,无残余分流,且心影透视未见异常,手术圆满成功,卒中风险得到了精准有效的控制。

▲封堵器展开,左心耳血栓封堵手术成功
患者术后恢复良好,心功能及心律均显著改善,达到了预期的治疗目的与效果。
江斌主任表示:“T-LOVE,即心腔内超声(ICE)指导下的左心耳血栓封堵术。通过在手术过程中使用ICE系统,实现了对左心耳的精确测量和封堵器的精准放置,从而有效预防了房颤患者心源性卒中的风险。T-LOVE术式的核心技术之一是“三轴六向法”,该方法的应用使得术者可以更准确地选择封堵器的大小、评估封堵效果,同时使用极低量的X射线和零造影剂,真正实现了“绿色”左心耳封堵的目标。此次T-LOVE术式的成功开展,为那些无法耐受抗凝治疗、高出血风险的房颤患者提供了新的治疗路径,真正实现了‘堵住血栓源头,守护脑部安全’。”

该手术的成功实施是该院在结构性心脏病介入治疗方面的重大突破,同时也也展现出医院在处理高龄、高危、复杂病例方面的综合实力与技术水平。未来,长沙泰和医院心血管内科将继续秉持创新发展理念,不断探索医疗新技术、新器械临床应用,以病人为中心,持续优化手术流程、提升诊疗水平,以更安全、有效的方式为患者的生命健康保驾护航。
小科普:房颤为何会导致脑梗?
房颤引发脑梗的核心机制是心耳功能减弱或消失导致血液淤滞,形成血栓,血栓脱落后随血流进入脑动脉引发栓塞。房颤患者发生脑梗的风险比常人高5倍以上,且脑梗范围更大、后果更严重。

左心耳带栓封堵术有何优势?
左心耳封堵术可减少血栓栓塞、预防脑卒中,且适用于无法长期服用抗凝药的房颤患者。手术具有滞留时间短、恢复快、术后无需终身服用抗凝药等多点优势。
责编:袁小玉
一审:袁小玉
二审:陈艳阳
三审:田雄狮
来源:大众卫生报
我要问

下载APP
报料
关于
湘公网安备 43010502000374号