新湖南客户端 2025-11-06 09:47:53
湖南日报·新湖南客户端11月6日讯(通讯员 梁玉莹 李满红)近日,广州医科大学附属第一医院(以下简称广医一院)党委副书记、胸外科主任医师刘君教授团队联合娄底市中心医院心胸大血管外科团队,完成湖南省内首例“无管(Tubeless)经剑突下胸骨拉钩辅助单孔胸腔镜前纵隔肿瘤切除术”。手术的顺利开展,不仅为前纵隔疾病患者带来了更微创、更优质的治疗新选择,更标志着娄底市中心医院在心胸外科微创领域的技术水平迈上新台阶。
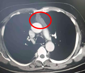
60岁的李先生(化名)近两年来深受胸闷、胸痛症状困扰,有时还出现呼吸气喘的情况,严重影响生活质量。两个月前,他慕名来到娄底市中心医院就诊,经胸部CT等详细检查后,被确诊为前纵隔肿瘤,肿瘤大小约51*19毫米。更棘手的是,该肿瘤位置较深,前方被胸骨遮挡,后方紧邻心脏、大血管等重要器官,手术操作空间狭窄,稍有不慎便可能引发严重并发症,手术难度极大。
(术前CT显示前纵隔肿瘤)
“传统纵隔肿瘤切除术对患者创伤较大、疼痛明显,术前需气管插管,术后还需留置尿管、胸腔引流管等多根管道,恢复周期较长,且感染风险较高。”娄底市中心医院心胸大血管外科学科主任、主任医师尹晓清介绍。

为给李先生制定合适的治疗方案,医院启动多学科会诊,组织专家团队开展全面细致的术前评估。经过反复研究和论证,团队决定采用“无管经剑突下胸骨拉钩辅助单孔胸腔镜前纵隔肿瘤切除术”。这一创新术式不仅能通过单一切口完成手术,还可以实现“无气管插管、无导尿管”的目标,降低患者手术创伤。

经过充分的术前准备,手术由刘君教授带领娄底市中心医院心胸大血管外科专家团队实施。在麻醉手术部的密切配合下,专家从剑突下做了一个约2.5厘米的单一切口,通过特殊胸骨拉钩装置精准抬高胸骨,成功扩大胸骨后间隙,为手术提供了充分的操作视野。医护团队细致分离肿瘤组织与周围组织,精准切除病变组织及周边的脂肪。整个手术过程出血量不足10毫升,耗时仅1小时便顺利完成。术后,李先生当天即可下床活动,疼痛症状明显缓解,恢复速度远超传统手术患者。
近年来,娄底市中心医院心胸大血管外科团队始终以技术创新为核心,在微创领域持续深耕,已先后完成多项“全市首例”高难度手术。这些技术的突破,一方面得益于国家区域医疗中心建设项目的持续推动;另一方面与广医一院等高水平医疗机构的深度帮扶协作密不可分。下一步,医院将继续以患者需求为导向,深化多学科协作,强化技术创新与人才培养,进一步发挥国家区域医疗中心建设引领作用,普及推广更多前沿微创技术,为守护湘中百姓身体健康,推动区域医疗服务能力整体提升注入更强动力。
责编:王美慧
一审:王美慧
二审:肖洋桂
三审:周俊
来源:新湖南客户端

版权作品,未经授权严禁转载。湖湘情怀,党媒立场,登录华声在线官网www.voc.com.cn或“新湖南”客户端,领先一步获取权威资讯。转载须注明来源、原标题、著作者名,不得变更核心内容。
我要问

下载APP
报料
关于
湘公网安备 43010502000374号