大众卫生报·客户端 2023-06-04 12:08:56
大众卫生报·新湖南客户端6月4日讯 (通讯员 周溪琳)说到骨折的痛,那真是“刻骨铭心”!近日,患者周大姐就因一次意外导致手骨折,急匆匆地来到长沙市中医医院(长沙市第八医院)南门口院区骨伤急诊科就诊。
听到医生说要手法复位,怕痛的周大姐顿时面露难色,不太愿意配合。南院急诊科兼正骨室主任刘政治耐心解释:“对于四肢骨折、关节脱位的情况,我们现在都采用无痛闭合整复治疗,您不用担心疼痛的问题。”

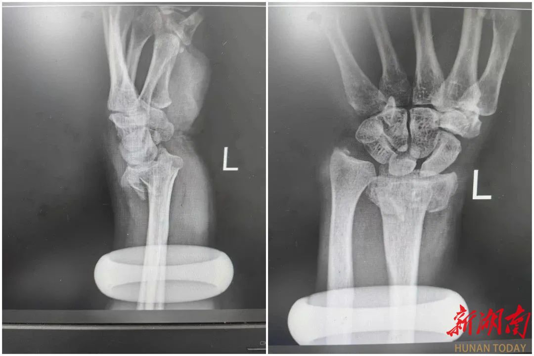
复位前
当天,还有两位骨折患者体验了无痛可视复位治疗,感觉非常满意:“以前总听说骨折复位相当疼痛,来医院的路上,心里一直很紧张,没想到今天的复位完全感觉不到疼痛。”“只知道你们在牵拉我的胳膊,看到装修一新的正骨中心、防辐射可视的正骨室、先进的可视设备以及整齐的铅衣装备,就感觉正骨还是你们专业。”

刘政治介绍,无痛可视复位是在无痛复位基础上,融入现代可视技术,争取一次复位精准化,减轻病人伤害。无痛复位术属于舒适医疗领域,是指在精准麻醉状态下对骨折脱位进行整复技术,缓解肌肉痉挛,易于手法整复,同时减轻病人复位痛苦。

复位后
疼痛是人体的第五大生命体征,与血压、体温、呼吸、脉搏一样是生命体征的重要指标,消除疼痛是患者的基本权利。在传统观念中,人们往往认为于医疗行为所产生的疼痛和不适,是短暂的,是病人理应承受的。事实上,骨折脱位单纯手法整复时产生的刺激性疼痛VAS评分基本上是10分,病人往往难以承受。强忍疼痛不仅不利于疾病的恢复和检查的精准,也给病人造成了巨大的精神压力。
随着国民经济的发展和人民生活水平的提高,人们对生存、生活质量和自身医疗保健的要求越来越高,越来越多的人愿意选择无痛苦的医疗方式,无痛可视复位技术的应用势在必行。长沙市中医医院(长沙市第八医院)为了减轻病人痛苦,提升服务质量,加大投入打造南院正骨中心,引进先进设备,组建由南院急诊科、正骨室、麻醉科、内科骨干成员组成的无痛复位MDT团队,进一步改善中医正骨治疗体验,提高复位精准率。患者复位成功即可自行离开,无需住院治疗,只需门诊复查。

医院骨伤科为国家级重点专科,推进传承与现代技术相结合的治疗方式,骨折无痛可视复位技术的开展,可以在麻醉下进行闭合整复固定。在患肢疼痛消失的基础上,高效、精准、安全地完成手法整复,大大提高手法整复的成功率,为许多可以手法整复的骨折患者带来了福音。

责编:王思贤
一审:王思贤
二审:张丽
三审:涂新山
来源:大众卫生报·客户端
我要问

下载APP
报料
关于
湘公网安备 43010502000374号