杨丽华 陈敏 罗松梅 湖南日报·新湖南客户端 2025-12-23 20:44:54
近日,怀化市中心医院(怀化市肿瘤医院)鹤城院区胸外科团队顺利完成大湘西区域首例康博刀肺癌复合式冷热消融术。这一前沿技术的成功落地,不仅填补了区域实体肿瘤微创消融治疗领域的技术空白,更标志着医院在肿瘤精准诊疗领域实现重大突破,为提升大湘西区域肿瘤综合诊疗水平注入强劲动力。
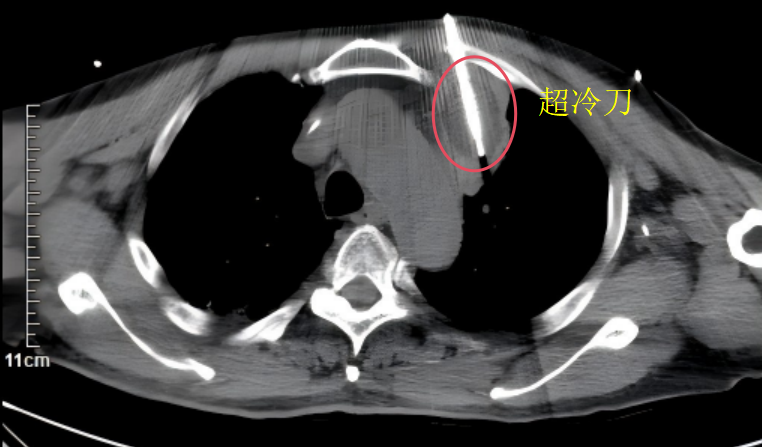
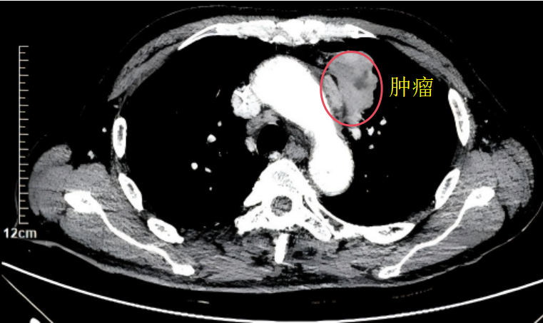
接受治疗的患者为68岁男性,此前已确诊左上肺低分化鳞癌。由于患者肺功能较差,无法耐受传统根治性手术,治疗一度陷入困境。经多学科会诊评估并取得患者及家属同意后,最终确定实施CT引导下康博刀复合式冷热消融术。


此次手术由胸外科副主任邹耀罡主任医师主刀,陈敏副主任医师与护士长杨丽华副主任护师组成的专业团队协同开展。术中,团队凭借丰富的临床经验和精准的操作技巧,在CT实时影像引导下,将直径约2mm的康博刀消融针精准置入肿瘤靶区,通过两个循环的“深度冷冻-主动复温”治疗——先将病灶温度降至-196℃的超低温,再快速升温至85℃,形成的“冰球”完整覆盖整个肿瘤病灶,实现对肿瘤组织不可逆的精准损毁。整场手术耗时短、创伤小,患者术中生命体征平稳,顺利完成,无并发症出现。术后,患者恢复良好,生活质量明显提升,一家人对治疗效果十分满意。
康博刀复合式冷热消融系统是目前国际前沿的肿瘤微创消融设备,其核心优势在于融合了超低温冷冻与高温复温的复合式消融模式,通过急剧的温度骤变,可快速促使肿瘤细胞崩解坏死,同时最大程度保留周围正常组织的结构与功能,具有创伤小、精度高、可控性强、术后恢复快等优势。该系统适用范围广泛,可用于肺癌、肝癌、胰腺癌、前列腺癌、乳腺癌等多种实体肿瘤的治疗,尤其为高龄、合并基础疾病多、身体状况差,或无法耐受传统手术、放疗的肿瘤患者,提供了更安全、更优质的微创治疗新选择。
近年来,怀化市中心医院(怀化市肿瘤医院)胸外科潜心学习国内外先进医疗技术,积极推进肿瘤诊疗模式创新,已逐步构建起涵盖手术治疗、微创消融、放化疗、免疫治疗及靶向治疗于一体的全链条肿瘤综合诊疗体系。此次大湘西区域首例康博刀肺癌复合式冷热消融术的成功开展,是对医院现有肿瘤治疗手段的重要完善与升级,不仅充分彰显了医院在肿瘤诊疗领域的专业积累与创新能力,更将发挥区域引领作用,带动周边地区肿瘤诊治水平的整体提升,让前沿微创医疗技术惠及更多大湘西区域的肿瘤患者。
(罗松梅)
责编:黄欣然
一审:黄欣然
二审:李夏涛
三审:肖畅
来源:湖南日报·新湖南客户端
我要问

下载APP
报料
关于
湘公网安备 43010502000374号