健康资讯
-
长护险来了!下半年全省职工参保启动实施
2026-02-12 11:35:22 -
新春走基层⑨|“好医生”蒋衡生的年礼
2026-02-12 11:12:57 -
小善举暖人心!刘坤劳模创新工作室为脑卒中患者纾困解难
2026-02-12 10:19:44 -
养好气血焕新颜——女性早春时节的暖养小妙招
2026-02-12 10:07:23 -
新春走基层⑧丨健康服务暖人心 两癌筛查进乡村——泸溪县妇计中心春节前开展“送医下乡”活动
2026-02-12 09:58:36 -
凝心汇智谋发展 实干笃行启新程——娄底市中心医院、广州医科大学附属第一医院娄底医院系列高质量发展座谈会侧记
2026-02-12 09:46:53 -
翰墨迎春 福满湘中——广州医科大学附属第一医院娄底医院、娄底市中心医院新春送福活动温情举行
2026-02-12 09:41:19 -
2026年全省职业健康工作会议强调:重点部署职业健康风险防控工作
2026-02-12 09:16:44 -
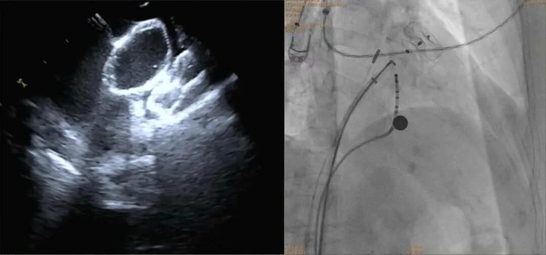
湖南省儿童医院成功开展全省首例儿童肺动脉高压PADN手术
2026-02-11 17:04:50 -
锁骨与胸骨之后:一场在“透视盲区”完成的脊柱复位战
2026-02-11 16:56:18 -
新春走基层⑥│救命神器上线 护航游客健康平安
2026-02-11 16:28:33 -
湘雅三医院疼痛科运用“黑科技”为八旬老人解除顽固剧痛
2026-02-11 16:26:08 -
新春走基层⑤│“五送”贺新岁 关怀暖人心:湖南湘江新区望月湖街道新春关爱计生特殊家庭
2026-02-11 16:12:31 -
揉眼“用力过猛”险失明!老太视网膜出血,中医附二1毫米创口成功施救
2026-02-11 15:59:50 -
高龄老人体内“疯狂石头”引发急症,泰和医院微创手术成功破解难题
2026-02-11 15:29:51 -
新春佳节将至,祁东县人民医院创伤中心为生命“守岁”
2026-02-11 15:21:47 -
精准“拆弹”!这家医院多学科团队成功救治巨大活性肾上腺肿瘤患者
2026-02-11 15:15:34 -
热血践初心,医者显担当
2026-02-11 12:05:41 -
脚伤难阻医者仁心!江永县医师带伤连续完成7台手术
2026-02-11 12:02:57 -
马年春节健康指南⑨|一杯四季消食茶 轻松化解脾胃“甜蜜负担”
2026-02-11 11:51:13 -
新春走基层④丨福启新岁 情暖病房——湖南省胸科医院医患同乐迎新春
2026-02-11 11:37:11
我要问

下载APP
报料
关于
湘公网安备 43010502000374号