湖南日报·新湖南客户端 2025-10-24 16:18:19
湖南日报·新湖南客户端通讯员 曹冬兰 张健
“术后第一天就能正常走路,14年的疼痛终于消失了!”近日,益阳医专附属医院手足显微外科病房里,63岁的王女士向医护人员表达感谢。这位从广东返乡求医的患者,凭借医院创新的“理线头、排好队、调平衡”脚趾复位技术,仅用两天便摆脱了困扰多年的顽疾。
王女士的痛苦,始于14年前的类风湿关节炎。疾病导致她脚趾畸形,第二趾像“越界的邻居”般长期骑跨在第一趾上。常年的挤压,让她“走一步疼一步”,日常行走从基本需求变成了折磨身心的“酷刑”。“脚痛得要死,真的受不了。”她曾辗转多地求医,却始终未能找到有效解决问题的方法。后来,家人从网上了解到益阳医专附属医院手足显微外科技术先进,便带着她将希望投向了家乡的医院。
接诊后,手足显微外科迅速为她完善各项检查。科主任周文进第一时间带领团队连夜研讨病情,为她量身制定了个性化手术方案。
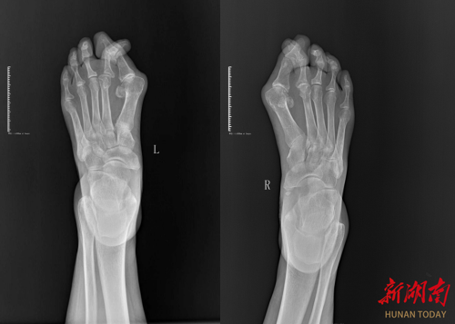
术前影像图。
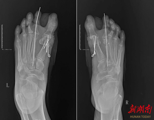
术后影像图。
手术中,周文进带领手术团队创新采用“三步复位法”:以“理线头”手法松解第二趾对第一趾的骑跨粘连,似拆解打结绳结般解除压迫;用“排好队”思路调整脚趾序列,让错位脚趾回归正常解剖位置;借“调平衡”技术矫正第一趾畸形,如校准天平般恢复足部受力平衡,实现脚趾“各安其位”。术后首日,王女士即可下床行走,康复效果远超预期。目前,患者已顺利出院。
如今,王女士的脚趾不再“挤作一团、乱成麻花”,而是乖乖“排好队伍”各司其职。益阳医专附属医院用“让脚趾归位”的通俗巧劲,把专业医术化作“解痛良方”,让患者重新迈出稳稳的幸福步伐。
责编:宋姗姗
一审:雷鸿涛
二审:杨军
三审:邢玲
来源:湖南日报·新湖南客户端

版权作品,未经授权严禁转载。湖湘情怀,党媒立场,登录华声在线官网www.voc.com.cn或“新湖南”客户端,领先一步获取权威资讯。转载须注明来源、原标题、著作者名,不得变更核心内容。
我要问

下载APP
报料
关于
湘公网安备 43010502000374号