大众卫生报·客户端 2025-11-21 11:16:31
大众卫生报·新湖南客户端11月21日讯(通讯员 李瑶珍)近日,一位90岁高龄、且心功能严重不全(心功能三级)的女性患者因突发右下肢剧痛、无法行走,被紧急送至邵阳市中心医院。
经诊断,患者右腿主干动脉被长达10厘米的血栓完全堵塞,不仅面临极高的截肢风险,其脆弱的心脏功能更让整个救治过程如履薄冰,风险重重。该院介入血管外科、重症医学科、麻醉科、心内科等多学科团队紧密协作,迎难而上,成功为这位超高龄、超高危患者施行急诊取栓手术,并成功应对了术后缺血再灌注损伤及急性肾衰竭的严峻挑战,最终保住了患者的肢体与生命。此次成功救治,是该院处理复杂外周血管急危重症综合实力的又一例证。

危急时刻:九旬老人突遭“腿中风”,心腿双危命悬一线
10月18日深夜,90岁的李奶奶(化名)因“右下肢剧烈疼痛16小时”被家人用轮椅推入该院急诊。家属称,老人此前并无明显外伤,却突然出现右腿剧痛、冰冷等症状,完全无法站立行走。鉴于患者平时轻微活动后即出现气促,心功能评估已达三级, 此次发病更伴有头晕、腹胀等不适,外院血管超声已提示“下肢动脉闭塞可能”。情况万分危急,患者被迅速收治入院。
入院查体发现,李奶奶的右下肢皮温明显低于左侧,最关键的是,右足背动脉搏动完全消失——这是肢体缺血、血供中断的明确信号。与此同时,心电图提示“心房颤动伴快速心室率”,结合患者有长期的冠心病、房颤病史,专家团队高度怀疑,是心脏内形成的血栓脱落,随血流堵塞了下肢动脉,导致了俗称“腿中风”的急性下肢动脉栓塞。对于一位心功能极差的超高龄患者,如此剧烈的疼痛刺激和急性缺血,本身就可能诱发急性心衰加重、恶性心律失常甚至心跳骤停,手术麻醉风险极高。
精准研判:多学科协作闯难关,预见风险备万全
“时间就是肌肉,时间就是肢体,但保住生命是首要前提!”面对这位超高龄、心功能储备极差、基础疾病复杂的患者,介入血管外科刘林志主任团队立即启动血管急症救治绿色通道。下肢动脉CT血管成像(CTA)检查结果证实了专家的判断:右股动脉近段完全闭塞。

救治团队面临巨大挑战:一方面,手术是保肢的唯一希望;另一方面,患者脆弱的心脏能否承受手术打击是一大考验。更严峻的是,即便手术成功开通血管,随之而来的“缺血再灌注损伤”风险巨大——下肢缺血期间积累的大量代谢毒素和炎症介质,在血流恢复的瞬间会涌入全身血液循环,极易冲击本就功能不全的心脏和肾脏,引发急性心功能衰竭、高钾血症、致命性心律失常以及急性肾衰竭,严重时可导致患者死亡。团队在与家属进行充分沟通,阐明病情危重性与手术的极高风险后,家属选择信任我院团队。介入血管外科、麻醉科、重症医学科、心内科、肾内科等专家组成的会诊团队进行了周密的术前评估,并预先制定了针对再灌注损伤和急性肾衰竭的详细防治方案,决定迎难而上,行急诊“右经皮下肢动脉取栓术”。
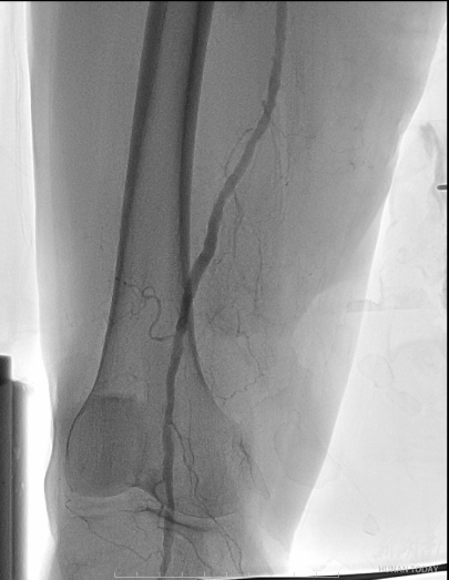
手术前右下肢动脉闭塞
右下肢动脉取栓后动脉显影
妙手取栓与风险管控:微创开通血管,多学科护航生命
10月19日,一场生命保卫战在多学科护航下展开。介入手术室团队为患者实施了精准的监护与管理,竭力维持其血流动力学稳定。在先进的DSA引导下,介入血管外科团队通过微创穿刺,将取栓导管精准送达堵塞部位。一个长约10厘米的暗红色血栓条被成功取出体外。复查造影显示,右腿血供被成功重建!
手术成功仅仅是第一步。术后,李奶奶被立即转入重症监护室(ICU)进行严密监护和治疗。正如术前所料,再灌注损伤的“毒素海啸”如期而至,患者肌酸激酶急剧升高,并出现了急性肾损伤的趋势。ICU团队凭借丰富的经验,立即启动预案:通过积极的液体复苏、碱化尿液、备持续血液净化(CRRT)治疗等措施,有效地清除了体内毒素,稳定了内环境,保护了肾功能,并避免了其对心脏的进一步打击。经过数日守护,患者成功度过了再灌注损伤和急性肾衰竭的最高风险期,情况逐日好转,于10月24日顺利转回介入血管外科普通病房。
康复出院:勇闯多重生死关,血管健康需警惕
经过后续的综合治疗,李奶奶的右腿保住了,各项指标趋于稳定,并可在家属搀扶下逐步进行康复锻炼。11月2日,手术伤口愈合良好,顺利拆线,李奶奶康复出院。
血管介入外科专家提醒广大市民,尤其是患有心力衰竭、房颤等基础病的老年人需要注意:
1.识别“腿中风”信号是关键:突发一侧肢体剧烈疼痛、皮温发凉、肤色苍白或青紫、麻木无力、动脉搏动减弱或消失,是急性下肢动脉栓塞的典型表现,需立即就医。
2.“时间就是肢体”是核心:从缺血发生到手术开通的“黄金时间”极为宝贵,越早治疗,保肢成功率越高,再灌注损伤等并发症也相对越轻。
3.基础疾病管理是根本:心功能不全、房颤是心源性血栓的主要来源,规范抗凝治疗至关重要;此类患者一旦发生急性动脉栓塞,病情更为复杂凶险,需要更有经验的多学科团队进行综合救治。
此次对90岁超高龄合并严重心功能不全患者的成功救治,并成功规避术后重大并发症风险,标志着该院在血管急症领域的多学科协作诊疗模式(MDT)已日趋成熟。邵阳市中心医院介入血管外科团队将继续秉持“生命至上, limbs salvage(全力保肢)”的理念,为广大人民群众的血管健康保驾护航。
责编:王思贤
一审:王思贤
二审:王璐
三审:谢峰
来源:大众卫生报·客户端
我要问

下载APP
报料
关于
湘公网安备 43010502000374号